ブログBlog
中足骨短縮症の治療法
こんなお悩みありませんか?
- 足の指が1本だけ短く見える
- サンダルを履くと見た目が気になって人目が気になる
- 歩くと短い指の周囲に痛みや疲れが出る
- 指の長さが違うため、靴が合いにくい
- どこに相談すればよいかわからなかった
こうした症状や不安に当てはまる方は、中足骨短縮症の可能性があります。
特に女性に多く、見た目のコンプレックスだけでなく、痛みや歩行機能に影響を及ぼすこともある疾患です。本記事では、整形外科専門医の視点から「中足骨短縮症」の原因・症状・治療法・予防策についてわかりやすく解説します。
中足骨短縮症とは?

中足骨短縮症(ちゅうそっこつたんしゅくしょう)は、足の中足骨(足指の付け根の骨)の1本が正常より短くなる疾患です。
特に第4中足骨に生じやすく、第4趾(薬指に相当する足指)が他の指より短く見えるのが典型的な特徴です。
この疾患は先天的な骨の成長障害によることが多く、思春期ごろに顕著に現れます。多くは見た目の問題として気づかれますが、進行すると歩行時のバランスや体重のかかり方に影響を及ぼし、痛みや疲れを引き起こすこともあります。
見た目の特徴と心理的影響
中足骨短縮症のもっともわかりやすい特徴は、足の指の長さに不均衡が生じることです。特に第4趾が短いと、サンダルや裸足になったときに見た目が目立ち、コンプレックスを抱える方も少なくありません。このため、単なる整形外科的疾患としてだけでなく、心理的な影響が強い疾患ともいえます。特に思春期の女性に多く、悩みを抱えながらも相談先がわからず放置されることも多いのが現状です。
中足骨短縮症の特徴
- 足指の1本(特に第4趾)が短く見える
- 指の長さの不均衡により足の形が崩れる
- 思春期ごろに症状が目立ってくる
- サンダルや素足で見た目が気になる
- 歩行時にバランスが崩れやすい
- 女性に多くみられる
中足骨短縮症の原因

中足骨短縮症は、足の甲にある中足骨が他の骨より短くなる状態です。これは主に先天的な要因、具体的には骨の成長が途中で止まってしまうことで起こります。
胎児期や成長期に特定の骨の形成がうまくいかないことが原因で、該当する指が短く見えます。これは遺伝性のことが多く、家族内で同様の症状が見られるケースもあります。
先天的な成長障害
もっとも多い原因は、胎児期から骨の成長が十分に進まない「成長障害」です。中足骨の成長板(骨端線)が早期に閉じることで骨が伸びなくなり、短縮が生じます。先天的に発生することが多いため、家族に同じ症状を持つ方がいるケースもあります。
後天的な要因はまれ
外傷や感染症などによって成長板が障害されることでも発症する可能性はありますが、非常にまれです。ほとんどは先天性の成長障害に起因します。
中足骨短縮症の原因まとめ
- 先天的な中足骨の成長障害
- 成長板(骨端線)の早期閉鎖
- 家族内発症がみられることもある
- 外傷や感染による成長障害はまれ
中足骨短縮症の症状
中足骨短縮症は、見た目の変化だけでなく、歩行機能や生活の質にも影響を与えることがあります。症状は年齢や程度によって異なります。
見た目に現れる変化
もっとも顕著な症状は、短縮した指が他の指よりも明らかに短く見えることです。特に第4趾が短いと、サンダルや裸足になった際に目立ちやすく、審美的な悩みにつながります。思春期以降に症状がはっきりすることが多く、この時期に強いコンプレックスを抱える患者も少なくありません。
歩行や足への負担
短縮した中足骨の周囲には本来よりも荷重が集中しやすくなります。その結果、前足部のバランスが崩れ、歩行中に疲労や痛みを感じることがあります。場合によってはタコや魚の目の形成、足裏の痛み、膝や腰への負担増加にもつながることがあります。
中足骨短縮症の症状チェックリスト
軽度
- 足指が短いこと以外に症状は少ない
- 見た目の違和感のみ
中等度
- 歩行時に疲れやすい
- 足裏の一部にタコや魚の目ができる
- 靴が合いにくい
重度
- 歩行障害や強い痛みが出る
- 他の足指が変形する(二次的なトラブル)
- 姿勢や歩行バランスに影響が及ぶ
中足骨短縮症の診断

視診上の特徴
一般に患者様自身が足の指が短いことを主訴に来院されるので診断は容易です。
実際の外観においても足趾の短縮が明らで、ときに短縮趾が足背に転位し隣接する趾に騎乗することもあります。
また、他趾の外反や内反変形を生じたり、趾間のwebの増大を認めることもあります。

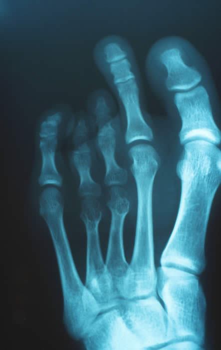
X線診断
一般に単純レントゲン像では、短縮趾に相当する中足骨の短縮が認められ、それによって中足趾節関節(MTP関節)が他趾にくらべて近位に位置しています。
右図では、第3,4趾の短縮がみられMTP関節が近位に位置しているため、母趾に28°の外反と第2趾にも軽度の外反を認めます。
第3、4中足骨の短縮はそれぞれ16mmと13mmでした。
中足骨短縮症の治療
一期的延長法
短縮した中足骨を骨切りし、一期的に骨切り部を延長した後に開いた隙間に骨移植を行う方法です。
一期的に延長するため、神経血管障害が生じる恐れがあるので、延長可能な距離が精々10mmまでと制限されてしまいます。
仮骨延長法
中足骨を延長させるもう一つの方法として「仮骨延長法」というものがあります。これは創外固定器というものを用いて短縮した骨をゆっくりと延長させて行く方法で、1987年に*De Bastianiらによって初めて報告された画期的な方法です。
骨切り部をゆっくりと延長させて行くことによって、延長された隙間に少しずつ新たな骨(仮骨)が形成されて行きます。
近年では本疾患の治療における最も有用な手術手技として広く行われるようになりました。
仮骨延長法の利点と問題点
【本法の利点】
- 骨移植が不要
- 一期的延長法では困難な、10mm以上の延長が可能である。
- 関節機能を温存したままで延長が可能
- 屈筋腱や伸筋腱の同時延長が可能
【本法の問題点】
- 長期治療期間による患者への負担
- 延長中に生じる二次変形(hummer toe変形など)や運動障害
- pinの折損や刺入部の感染
- 固定器サイズが限られることによる適応の限界
- 遷延治癒や偽関節などの骨癒合不全や早期骨癒合
- 神経血管障害
仮骨延長法の実際
(1)固定には延長器用のスクリューピン4本を使用。
(2)骨切り部はできるだけ中枢端とし、仮骨形成に有利となるようにする。
(3)7~10日間のwaiting periodを置き、その後延長を開始する。
(4)延長速度は0.5mm/日を目標とし、1回0.25mmを1日2回行う。
(5)仮骨の形成状態、局所の疼痛、循環障害などの状態により、適宜速度を調節する。
(6)約2カ月間のneutralizationを置き、仮骨形成が十分であることを確認した後にスクリューピンを抜去する。
※ waiting period…手術が終了してから延長を開始するまでの期間
※ neutralization…延長が終了しスクリューピンを抜去するまでの期間

創外固定器の装着
右図は、第3,4中足骨短縮症に対し、同時仮骨延長術を行った際の創外固定器を装着した状態の写真です。
それぞれの中足骨にスクリューピンを4本ずつ刺入し、各々に創外固定器を装着しています。
両中足骨の骨切りは同一皮切で行いました。その際、骨膜は愛護的に剥離し、骨切り後に吸収糸で再縫合しました。
X-p所見の経時的変化

術前に第3、4趾にそれぞれ16mmと13mmの延長を要する短縮を認めました。
10日間のwaiting periodを置き、その後56日間で目標の延長量が得られ、その時点で延長を終了しました。
その後58日間のneutralizationの後、124日目に延長器を除去しました。
最終診察時のX線像において、仮骨延長部の透明層の硬化、周囲の骨皮質化を認め、延長器除去後に比べ荷重刺激に応じて横径の増大を認めました。
術前後の外観

外観上、趾先の位置と伴に、足趾自体の長さも正常化し、母趾の外反と小趾の内反も改善し、1・2趾間のWebの開大も消失しました。
中足骨短縮症でお悩みの患者様へ
中足骨短縮症に対する仮骨延長法は、従来の一期的延長法に比べ、合併症の頻度も比較的少なく、延長距離の著しい向上を期待できる画期的な治療法です。
本疾患は、日常生活の動作やスポーツ活動等に支障を来すことは殆どない疾患ですが、ときに美容上の問題で患者様を悩ませる深刻な疾患と言えます。
特に思春期を過ぎた多感な時期の若年者においては、海水浴等で裸足になることの多い季節になると、ついつい人目が気になり行動が消極的になってしまい、有意義な日常生活を送ることに支障を来してしまうこともあるため、適切な治療を行う必要があります。
本法は若年者に限らず、治療を希望していたがその時期を逸してしまったという壮年期から中年期にかけての患者様においても適応が可能ですので、本疾患でお悩みの方は、まずは当院もしくは本疾患に詳しい専門医のいる病院を受診し、適切な診断・治療をお受けになることをお勧めします。
当院での診察の結果、手術が必要と診断された場合は、院長吉野自らが当院関連病院(けいゆう病院) へ出向し手術を行っております。また退院後は引き続き当院で外来フォローアップしておりますので安心してご相談下さい。
よくある質問(Q&A)
中足骨短縮症について多くの患者さまからいただくご質問に、足の外科医である院長吉野がお答えします。
成長が進んでも骨の長さは自然に伸びることはありません。見た目や痛みが気になる場合は、医師による評価が必要です。
成長期が終わるまでは保存療法を優先することが多いですが、強い痛みや心理的な影響が大きい場合は医師と相談のうえで判断します。
片足に起こることが多いですが、両足に生じるケースもあります。その場合、左右差が強く出て歩行に影響が出ることもあります。
家族に同じ症状を持つ方がいるケースはあります。遺伝的な要因が関与する可能性はありますが、必ず発症するわけではありません。
見た目の問題だけでなく、歩行時のバランスが崩れ、足裏のタコや魚の目、膝や腰への負担増加につながることがあります。
骨の長さを根本的に変えることはできませんが、インソールや靴の工夫で痛みや歩行時の不快感を軽減できます。
一般的には骨延長術や骨移植を用いて短縮した中足骨を延ばします。手術の適応は年齢や症状、希望する改善内容によって判断されます。
手術内容によりますが、通常は数週間で歩行可能になります。完全な回復には数か月のリハビリが必要です。
整形外科での受診が適切です。できれば整形外科専門医の中でも「足の外科医」に診てもらうことで、正確な診断と治療方針の提案が受けられます。
吉野整形外科では、中足骨短縮症に対して保存療法から手術療法まで幅広く対応しています。患者さまの症状やご希望に合わせ、最適な治療を提案しています。
中足骨短縮症のまとめ
中足骨短縮症は、足指の骨が短くなることで見た目の不均衡や歩行時の痛みを引き起こす疾患です。特に第4趾に多く、思春期以降に顕著になることが一般的です。
保存療法では根本的な改善は難しいものの、痛みの軽減や生活の快適さを高めることが可能です。見た目や痛みの悩みが強い場合には、骨延長術などの手術療法が検討されます。
足の見た目や痛みに不安を感じたときは、早めに整形外科で相談することが安心につながります。
吉野整形外科では、患者さま一人ひとりに合わせた診療を行い、足元の健康と生活の質をサポートしています。

